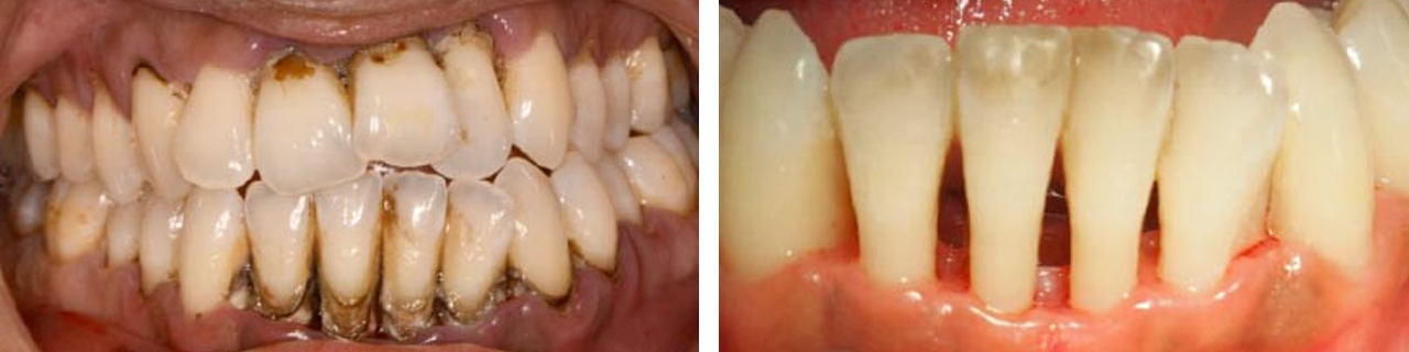
Eliminación de cálculo mediante raspado y alisado radicular.

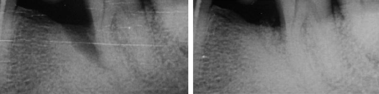
Regeneración del hueso alrededor de los dientes.

Regeneración de hueso y encía previo al implante.

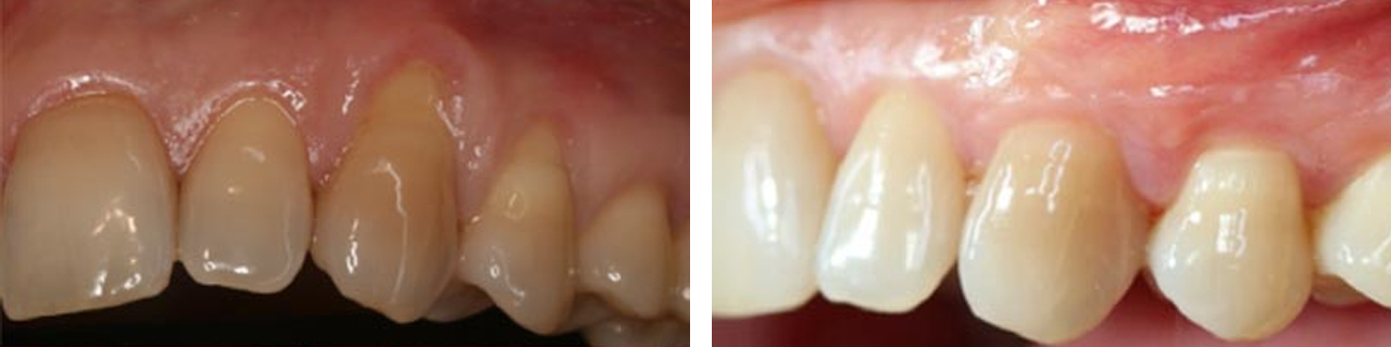
Cubrimiento de raíces expuestas.

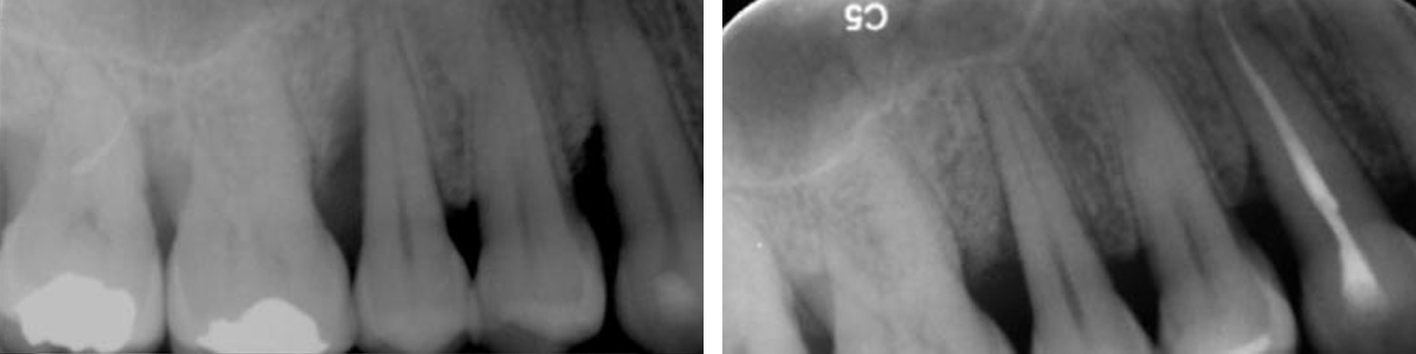
Regeneración del soporte dental.

Eliminación de frenillos.

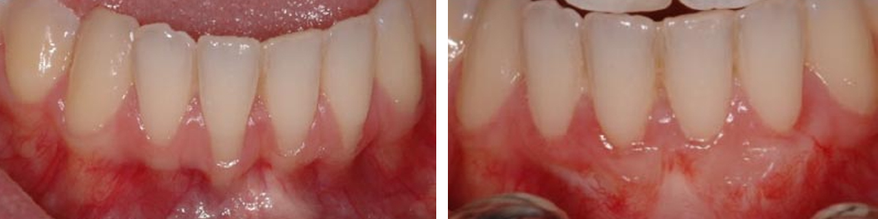
Cubrimiento de raíces expuestas y aumento del grosor de la encía.

Cubrimiento gingival de implante
